Dijital Gülüş Tasarımı Nedir?
Dijital Gülüş Tasarımı (DSD), kişinin yüz hatlarına, ağız yapısına ve beklentilerine göre kişiselleştirilmiş bir gülüş planlaması yapılmasını ifade eder. Tıbbın ve estetik sanatın birleşiminden doğan bu yaklaşım, doğal, sağlıklı ve dengeli bir gülüş elde etmek için ileri dijital teknolojilerle desteklenir.
Gülüş Tasarımına Nereden Başlanır?
- 
Öncelikle çok açılı fotoğraf ve videolar alınır. 
- 
Üst ve alt çene ölçüleri alınarak modeller oluşturulur. 
- 
Dijital ortamda analiz ve ölçümler yapılır. 
- 
Yüz hatlarına en uygun gülüş tasarlanır. 
- 
Tasarım laboratuvara iletilir ve Mock-Up (ağızda prova) hazırlanır. 
- 
Mock-Up uygulamasıyla dişler kesilmeden önce nihai görüntü hasta ile paylaşılır. 
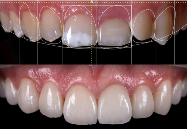
Dijital Gülüş Tasarımında Ölçüm Kriterleri
- 
Yatay Hizalama: Göz bebeklerinden geçen hat ile dişlerin ortasından geçen hat paralel olmalıdır. 
- 
Diş Eti Çizgisi: Gülümserken diş etleri üst dudak çizgisine paralel olmalıdır. 
- 
Gülüş Genişliği: Dişlerin arka bölgelerde de görünmesi sağlanmalı, ağız köşelerinde karanlık boşluk oluşmamalıdır. 
- 
Dişler Arası Doğal Üçgenler (Embrasures): Diş uçları arasındaki küçük üçgen boşluklar estetik bir gülüş için önemlidir. 
- 
Altın Oran: Dişlerin boy/en oranı, diş sıralaması ve yüz hatları arasında ideal matematiksel oranlar dikkate alınır (1.618). 
- 
Diş Uzunluk Oranı: Ön iki dişin yüksekliği genişliğinden daha fazla olmalıdır. 
Kimler Dijital Gülüş Tasarımı Yaptırabilir?
- 
Gülüşünden memnun olmayan, 
- 
Dişlerinde renk/şekil uyumsuzluğu bulunan, 
- 
Estetik beklentisi olan her birey bu işlemden faydalanabilir. 
Dijital Gülüş Tasarımı Ne Kadar Sürer?
- 
Ortalama 3–4 gün içinde tamamlanır. 
- 
1. Seansta: Fotoğraf ve ölçü alımı yapılır (30–60 dk). 
- 
2. Seansta: Tasarım ağızda mock-up olarak gösterilir. Gerekli düzenlemeler yapılır (yaklaşık 1 saat). 
Prova Aşamasında Neler Yapılır?
- 
Yaklaşık 5–10 dakika süren uygulamada dişlere herhangi bir müdahale yapılmadan dijital tasarım ağız içine uygulanır. 
- 
Hasta tasarımı ağızda görerek değerlendirme şansı bulur. 
- 
Değişiklik talepleri değerlendirilir ve güncellenir. 
- 
Son hali üzerinden tekrar stüdyo fotoğrafları alınır. 


 
 
 
