Bonding Uygulaması Nedir?
Estetik Diş Hekimliğinde Pratik ve Etkili Bir Yöntem
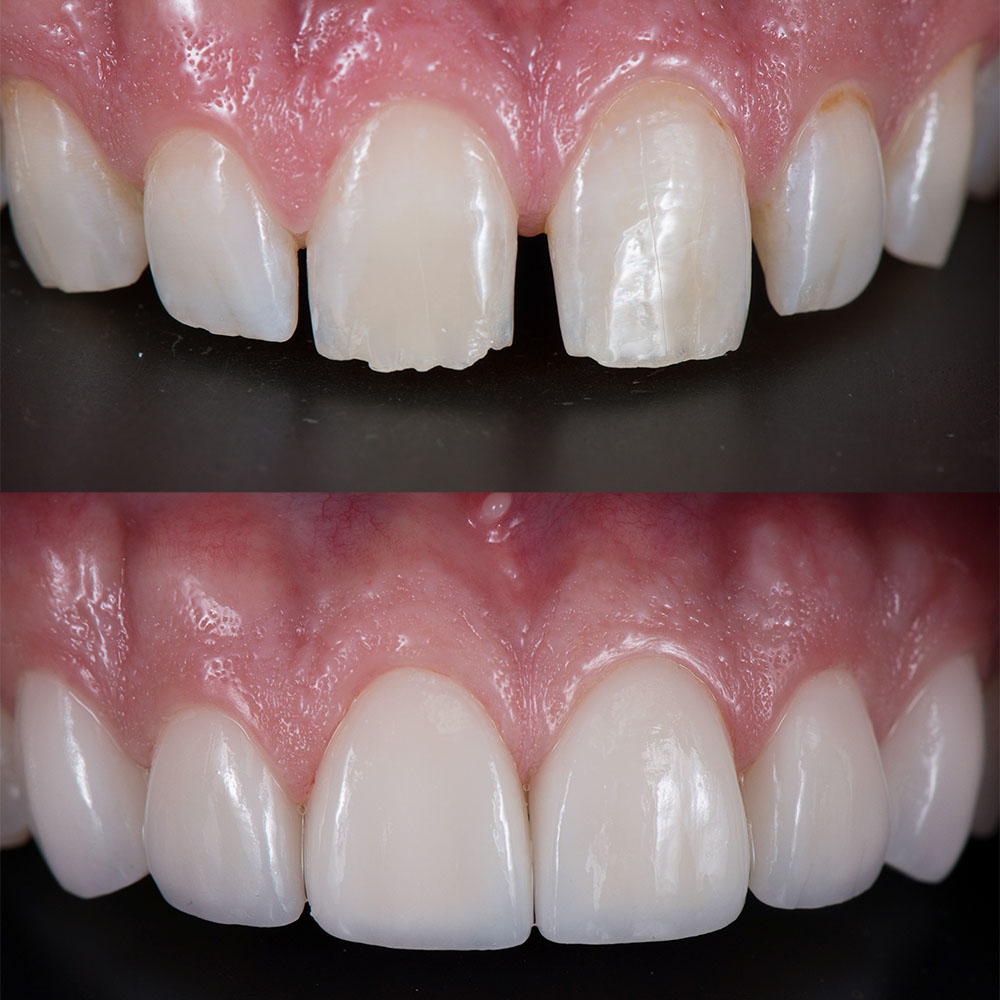
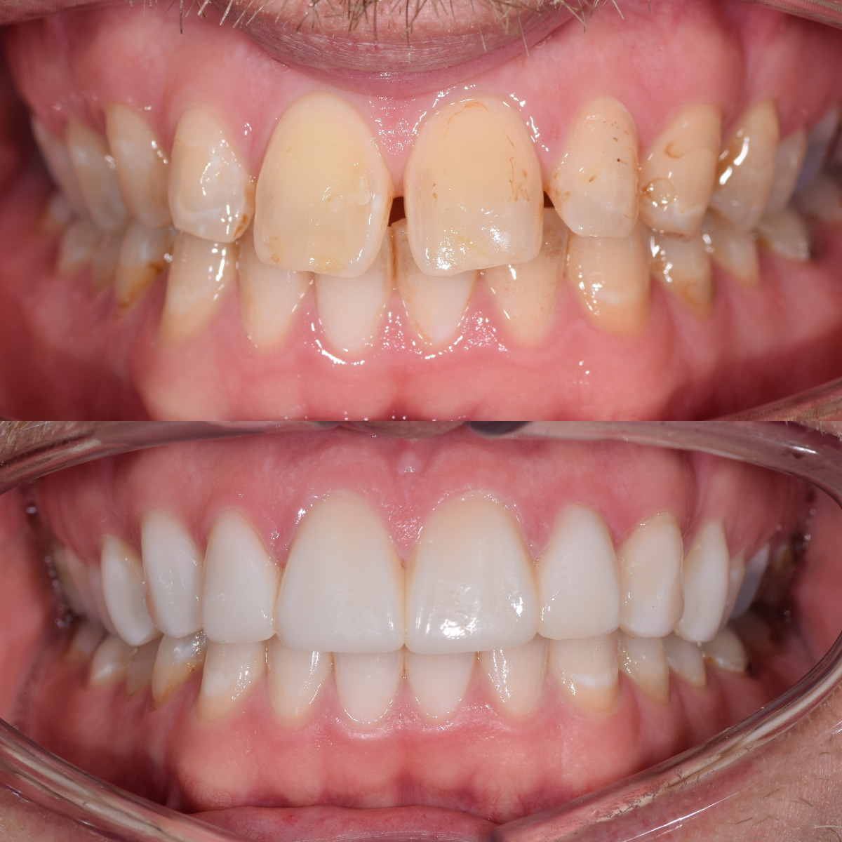
Bonding işlemleri, estetik diş hekimliğinde diş bütünlüğünü sağlamak amacıyla sıklıkla başvurulan bir tedavi yöntemidir. Son yıllarda hem doğal sonuçları hem de konforlu uygulama süreci sayesinde daha fazla ilgi görmektedir.
Bonding Nedir?
Bonding, diş yüzeyine herhangi bir aşındırma yapılmadan, kompozit dolgu materyallerinin dişe yapıştırılması esasına dayanan bir estetik uygulamadır. Özellikle dişler arasında küçük boşluklar veya şekil bozuklukları olduğunda tercih edilir. Dişe zarar vermeden, doğallığını bozmadan estetik görünüm kazandırır.
Bonding işlemiyle birlikte:
- 
Dişe herhangi bir zarar verilmez. 
- 
Dişteki şekil bozuklukları ve küçük kusurlar giderilir. 
- 
Tedavi kısa sürede, ağrısız şekilde tamamlanabilir. 
Bonding Uygulaması Nasıl Yapılır?
- 
Muayene ve Planlama: 
 Hangi dişe işlem yapılacağı belirlenir. Gerekirse lokal anestezi uygulanır.
- 
Bağlayıcı Ajanların Uygulanması: 
 Diş ile kompozit materyalin uyumlu bir şekilde tutunması için özel bonding ajanları sürülür.
- 
Kompozit Materyalin Uygulanması: 
 Doğal diş rengine en uygun ton seçilir ve dişe şekil verilir.
- 
Şekillendirme ve Polisaj: 
 Dişe son şekli verildikten sonra cilalama (polisaj) işlemi yapılır. Bu aşama oldukça önemlidir çünkü dişin pürüzsüz ve leke tutmayan bir yüzeye sahip olması sağlanır.
Bonding Hangi Durumlarda Tercih Edilir?
- 
Dişler arasındaki küçük boşlukların kapatılmasında 
- 
Kırık veya çatlak dişlerin onarımında 
- 
Diş boyunun uzatılmasında 
- 
Ön dişlerdeki şekil bozukluklarında 
- 
Laminate porselen öncesi deneme estetiği oluşturmak için 
Bonding Uygulamasının Avantajları
- 
Dişte kesim ya da aşındırma gerekmez. 
- 
Doğal diş rengine birebir uyum sağlanır. 
- 
Gülüş estetiği kısa sürede elde edilir. 
- 
Anında sonuç verir ve tek seansta tamamlanabilir. 
- 
Ekonomiktir ve daha az invaziv bir işlemdir. 


 
 
 
